オープン型MRI
オープン型MRI

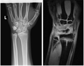
様々な部位や疾患の検査において幅広い診断情報を得るために、当院では整形外科の検査に特化した最新のオープン型MRIを導入しております。
X線一般撮影では判別しづらい骨折や骨のダメージ、靭帯など軟部組織の精査が可能です。

オープン型MRIでは閉塞感が少ないため、閉所が苦手な患者様でも安心して検査を受けていただけます。
また、MRI検査特有の不快な騒音も小さく、患者様の苦痛が少ない検査が可能です。
MRI検査はX線を使用しないので、被ばくの心配はありません。
背骨や関節の検査に特化したMRIです。独自開発された患部ごとに対応した高感度専用コイル(体内からの信号を受信するアンテナ)と最新の画像技術により、超電導型にせまる高画質を実現しています。







| 検査料 | 15,000円程度 |
|---|---|
| 3割負担 | 5,000円程度 |
| 1割負担 | 1,500円程度 |